烟台融媒4月23日讯(通讯员 李姝慧)半年前,老张(化名)发现左下牙龈冒出了一个不起眼的小溃疡,他没放在心上。“上火了,过几天就好了。”他这样安慰自己。
可两天过去,溃疡还在。一周过去,溃疡纹丝不动。两周过去了,它依然顽固地盘踞在那里,像一颗钉在牙龈上的钉子。老张有点慌了,自己买了药,涂了又涂,可那个小小的创面,像是铁了心要跟他作对。
更麻烦的事接踵而至。溃疡旁边的牙齿开始松动,隐隐作痛。附近诊所的医生说是牙周炎,让他回去吃几天消炎药。几天后,溃疡仍在,牙也越来越疼。老张决定把这颗牙拔掉。“牙都没了,这下总该好了吧?”他天真地以为拔掉了“病根”,一切就能回归正常。
可现实给了他一个沉重的教训。拔牙后,那个溃疡不但没有消失,反而像被按下了加速键,越长越大,还开始往外流脓。老张彻底慌了,他终于意识到,事情远比自己想象的要严重。于是他决定到烟台市口腔医院寻求帮助。
“您这个情况,不能再拖了。这个溃疡多久了?”在烟台市口腔医院口腔颌面外科,医生仔细检查了他的口腔情况,神色变得凝重。老张低声回答:“半年多了……之前看过,说是牙周炎,还把牙拔了。”医生摇了摇头:“这不像普通炎症。我建议您做个活检。”
老张心里咯噔一下。活检?他不敢往下想。检查后,病理结果出来了——左下牙龈低分化鳞状细胞癌。“我一直以为是上火,怎么就成了癌呢?”老张的声音里满是不解和惶恐。医生耐心解释:“口腔癌早期症状往往不典型,很容易被误认为普通的口腔溃疡或牙周炎。但有一个关键的区别——普通溃疡一般一到两个周就会自愈,超过两周不愈合的,就需要高度警惕了。”

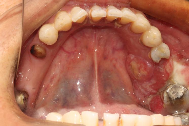
术前口内照

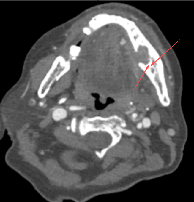
术前增强CT示肿瘤浸润破坏达骨松质
进一步检查发现,肿瘤已经突破了黏膜的边界,悄然侵入了下颌骨。“那……那怎么办?”老张的声音有些发抖。“别担心,我们还有办法。”医生的语气沉稳而坚定。
口腔颌面外科团队为老张制定了周密的手术方案。手术当天,医生为老张实施了肿瘤扩大切除、下颌骨节段性切除、颈部淋巴清扫,并采用游离皮瓣技术进行修复重建,手术顺利完成。术后,老张恢复得不错。他对着镜子,看到自己重新有了下颌的轮廓,百感交集:“早知道一个溃疡能闹成这样,我半年多前就该来医院。”
烟台市口腔医院口腔颌面外科专家提醒:口腔癌早期症状往往不典型,容易被误认为普通炎症或牙病。如果出现以下情况,请务必尽早到正规医院就诊:
1. 口腔溃疡超过2周仍不愈合
2. 牙龈或口腔内出现不明原因的肿块、增生物
3. 牙齿突然松动,且原因不明
4. 局部反复疼痛、出血、流脓或异味明显
5. 张口不适、吞咽不适,或局部出现麻木感
尤其需要注意的是,“久治不愈”是一个非常重要的危险信号。普通炎症经过规范治疗后通常会逐渐缓解;如果治疗后症状持续存在,甚至越来越重,就不能再单纯按炎症处理,而应进一步检查,必要时尽早活检明确诊断。
早发现、早诊断、早治疗,永远是最好的“药方”。
地址:莱山区逛荡河东路1866号
烟台市口腔医院东院区7楼
科室电话:0535-6089371
0535-6087366
法律支持单位:山东助商律师事务所

鲁公网安备37061302000010号