烟台融媒11月8日讯 近日,烟台市烟台山医院放疗二科团队凭借精湛的医疗技术、高效的多学科协作模式,成功为一名病情危重的高度恶性胸膜血管肉瘤患者解除病痛。患者的肿瘤显著缩小,生活质量也得到了极大改善。
病情危急:恶性肿瘤肆虐,患者辗转求医陷困境
此前,这位患者曾因身体不适在烟台市烟台山医院胸外科被确诊为高度恶性胸膜血管肉瘤。该病恶性程度极高、肿瘤生长速度快,在医学上属于治疗难度极大的肿瘤类型。之后患者曾辗转多家医院求医,却始终未能找到有效的治疗方案。
当患者再次回到烟台市烟台山医院时,病情进展已经导致肿瘤占据整个右侧胸腔,并伴随骨及淋巴结转移,严重压迫肺部及周围组织。患者出现明显的喘憋症状,稍作活动便呼吸困难,同时伴随频繁咳嗽、咳痰,生活质量受到严重影响,生命也面临严峻威胁。

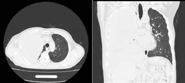
患者治疗前巨大肿块,占据右侧整个胸腔。
MDT精准研判:打通治疗“梗阻”,制定个体化诊疗方案
面对患者复杂危重的病情,烟台市烟台山医院胸外科及时启动肿瘤多学科协作(MDT)讨论制度,提交院级疑难病例讨论。来自胸外科、肿瘤放疗科、肿瘤内科、影像科、病理科等多个科室的专家齐聚一堂,围绕患者的病史、病理诊断结果、影像学检查报告以及身体状况展开全面分析。
专家们一致认为,患者肿瘤负荷大、症状明显,血红蛋白仅68g/L,暂无法耐受化疗,单一药物治疗恐难缓解病情,而放射治疗有望通过放射线精准打击肿瘤,实现肿瘤缩小、缓解症状的目标。经过充分讨论,最终确定将患者转入肿瘤放疗二科进行放射治疗。
团队协作攻坚:精湛医术+先进技术,创造治疗佳绩
转入放疗二科后,科室负责人刘海德统筹指导,医护团队迅速投入到患者的治疗工作中。副主任医师王朝牵头制定了个性化的晶格放疗方案。之所以选择晶格放疗技术,正是因为其独特的技术原理与优势高度契合患者病情:该技术通过将传统的“大面积均匀照射”模式,创新转化为“三维立体晶格状剂量分布”——如同在肿瘤内部构建无数个高剂量辐射节点。这些节点既能形成叠加效应,对肿瘤细胞产生强效杀伤作用,又能在节点之间保留低剂量区域,为周围正常组织(如患者受压的肺部、胸腔内血管神经)提供保护通道,发挥精准杀伤+器官保护双重优势,大幅降低治疗带来的副作用。
方案确定后,王朝副主任医师与盛文炯主治医师紧密协作,展开细致靶区勾画工作——既要确保精准覆盖肿瘤病灶,又要最大限度保护周围正常组织,降低治疗副作用。在晶格放疗技术的设计环节,二人结合患者肿瘤不规则形态,调整晶格节点的密度与分布,确保高剂量区域完全包裹肿瘤;同时参考肺部呼吸运动规律,优化剂量动态补偿,避免因呼吸导致的肿瘤“脱靶”。最终确定的治疗计划既保证了肿瘤区域的治疗强度,又将肺部受照剂量控制在安全阈值内。
放疗计划的落地,离不开物理师的专业支持。放疗室物理师孙忠楠接到任务后,深知晶格放疗技术对计划设计的高要求,需要通过精准的算法优化,确保每个晶格节点剂量的精准性。孙忠楠借助专业治疗计划系统,反复调整剂量计算模型,对肿瘤不同区域的节点剂量进行差异化优化;同时通过剂量体积直方图(DVH)反复验证,确保肺部、心脏等正常器官的受照剂量严格符合临床规范。经过反复的调整与验证,最终成功完成了这一高难度的晶格放疗计划,为后续治疗的顺利开展提供了关键保障。

极具难度的晶格放疗计划设计。
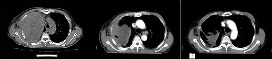
治疗过程中,放疗二科及放疗室团队始终密切关注患者病情变化,借助锥形束计算机断层扫描技术(CBCT)对肿瘤情况进行及时监测,纠正因体位变动带来的位置偏差,确保放疗精准“命中”肿瘤。仅经过8次放疗后,患者的病情便出现了显著改善,原本占据整个右侧胸腔的肿瘤明显缩退,喘憋症状大幅缓解,咳嗽、咳痰症状也基本消失。团队又及时为患者进行再次定位,结合最新影像学检查结果调整靶区与晶格剂量分布,实施更精准的后续放疗。患者病情得以良好控制后,科室再次提请院级MDT讨论,在多学科专家的讨论下为患者制定了进一步药物治疗方案。

影像图依次为:患者治疗前、第8次放疗后、第17次放疗后。
坚守医者初心:以技术创新与规范诊疗,守护患者生命健康
此例患者的成功治疗,是烟台市烟台山医院坚持肿瘤规范化治疗、落实 MDT 讨论制度、推动医疗技术创新的重要成果。从 MDT 多学科专家的精准研判,到放疗团队对晶格放疗技术的精准应用,再到物理师的专业保障,每个环节都凝聚着医护人员的心血与担当。
近年来,放疗二科始终坚持“规范为本,与时俱进”的治疗原则,紧跟国际国内肿瘤治疗前沿,不断学习最新治疗进展,以高水平医疗技术服务患者。团队成员近年来先后前往中国医学科学院肿瘤医院、复旦大学附属肿瘤医院等国内顶尖肿瘤诊疗机构进修学习,部分医师还远赴法国、美国等国家深造,将国际先进的治疗理念与技术引入科室。放疗室护士长王永红严把室间质控,以规范为本,为开展高难度治疗奠定了坚实基础。
未来,烟台市烟台山医院将继续以患者为中心,不断加强学科建设与人才培养,积极推行多学科联合诊疗(MDT)模式,打破学科壁垒,实现不同领域医疗资源的深度整合,持续提升肿瘤诊疗水平,让更多先进的治疗技术服务于患者,为守护人民群众的生命健康贡献更多力量。
法律支持单位:山东助商律师事务所

鲁公网安备37061302000010号